ホームホワイトニング♪
- 2025年10月10日
- 氷川デンタルクリニック
- スタッフブログ
こんにちは~、すっかり涼しくなってきましたね🍂
以前ブログでホームホワイトニングを始めたことを報告して
すっかり季節が変わってしまいました。
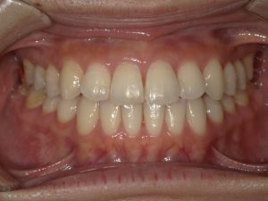
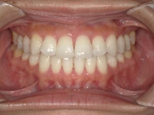
おうちの隙間時間に使用していたので、だいぶナチュラルな白さになったかなと思います。
もっと、白く変わったなと印象付けたい方はやはり、
オフィスホワイトニングも併用した方がいいですね。
もともと知覚過敏の症状がある方は症状が強く出ますが、一時的なものなので心配しないでください。
私もそうでした。。。
冬に向けてホワイトニングしたい方、興味ある方ご相談してくださいね。

before

after
草加の歯科医院
氷川デンタルクリニック
荒居




